Implantatkronen von Safaric Zahntechnik in Villach – digital geplant, funktionell umgesetzt

Hochpräzise Kronenversorgung für implantatgetragene Rekonstruktionen

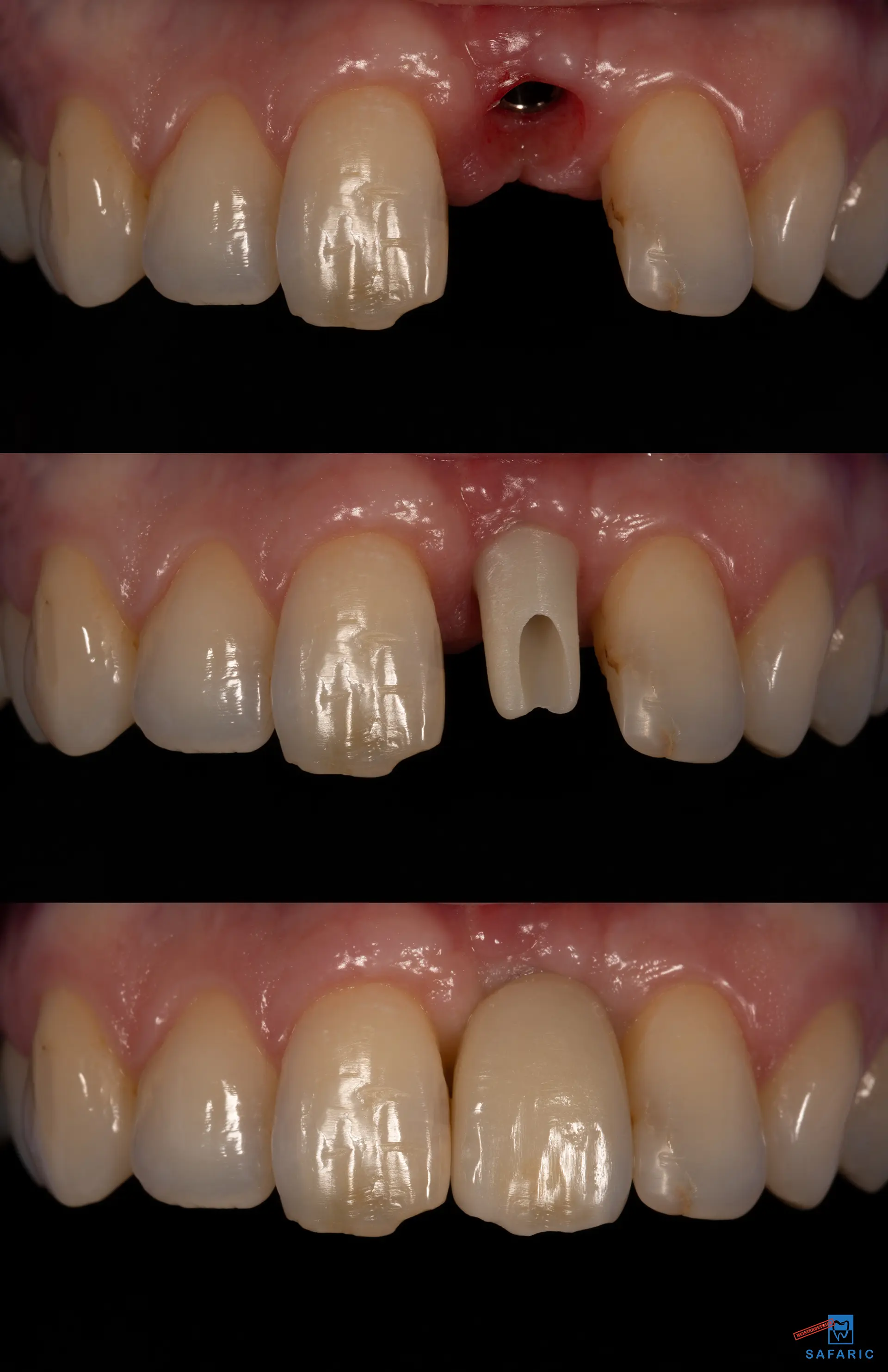
Implantatgetragene Kronen müssen biomechanisch präzise gestaltet und exakt auf das Implantatsystem abgestimmt sein. Wir fertigen unsere Kronen auf Basis exakter Implantatbibliotheken – egal ob verschraubt oder zementiert. Durch individuelle Ausformung der Emergenzprofile und präzise abgestimmte Okklusion unterstützen wir die periimplantäre Gewebeintegration und den langfristigen Erhalt der Implantatversorgung.

Digitaler Workflow für perfekte Ergebnisse

Unsere digitale Prozesskette umfasst die dreidimensionale Implantatplanung, virtuelle Konstruktion und CAM-Fertigung. Dadurch minimieren wir manuelle Fehlerquellen und ermöglichen eine gleichbleibend hohe Qualität. Der digitale Austausch zwischen Ihrer Praxis und unserem Labor garantiert dabei maximale Effizienz – insbesondere bei Sofortversorgungen oder komplexen Implantatfällen.

Jetzt anrufen

Individuell & langlebig

Je nach klinischem Befund und funktioneller Anforderung setzen wir auf monolithische Kronen aus Zirkon oder ästhetisch geschichtete Vollkeramiklösungen. Unsere Materialien sind hochfest, abriebresistent und farbstabil. Die individuelle Farbgebung und Transluzenz sorgen für ein natürliches Erscheinungsbild – abgestimmt auf das umliegende Restzahngebiet.

Kontakt aufnehmen

Safaric Zahntechnik – Expertise für implantatgetragene Kronen in Villach

Für präzise und funktionelle Implantatkronen ist Safaric Zahntechnik in Villach Ihr professioneller Laborpartner – kontaktieren Sie uns für eine erfolgreiche Zusammenarbeit.

Anfrage senden